Esta afección ocurre en el primer túnel o corredera extensora de la muñeca, en donde se alojan los tendones que separan el pulgar y lo extienden (APL y EPB). Sucede que estos se inflaman en su paso en esta corredera y se inflaman, ocasionando dolor y limitación para mover tanto el pulgar como la muñeca. El paciente refiere además sensibilidad, edema y una sensación de “ardor extraño” cuando intentan agarrar objetos o realizar esos movimientos, incluso al escribir o levantar un bebé.
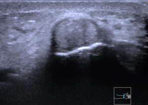
La valoración física y el examen clínico por un médico como la Dra. Vivian Tecú, es de suma importancia y nos provee el diagnóstico, con tests como el de FINKELSTEIN la probabilidad del diagnóstico aumenta. Sin embargo en la actualidad apoyarse de un estudio diagnóstico como la ecografía de muñeca (ultrasonido de imagen) brinda datos y cambios que confirman el diagnóstico como en las imágenes que vemos abajo.

El tratamiento se realiza de forma escalonada, según los hallazgos y el tiempo de evolución; pueden incluir desde reposo y modificación de actividades, inmovilización, medicación, fisioterapia, infiltraciones o incluso hasta cirugía. Muchas veces un correcto diagnóstico y tratamiento en el momento adecuado es suficiente para resolverlo; es por eso que la Dra. Tecú Bocanegra con su experiencia puede ofrecer la mejor solución acorde a cada persona.


