Cirugía y tratamiento especializado del codo en Guatemala
El codo es una articulación fundamental para mover el brazo con fuerza, precisión y estabilidad. Cuando duele, se inflama o pierde movilidad, tu día a día se altera por completo. En Tebo Traumatólogos tratamos lesiones de codo con un enfoque funcional, moderno y adaptado a tus necesidades.
El codo soporta cargas, estabiliza movimientos y conecta tu fuerza con tus manos. Cualquier alteración en esta zona puede afectar actividades tan simples como levantar una taza, vestirte o cargar peso.
Patologías a tratar:
- Artrosis
- Epicondilitis
- Epitrocleitis
- Fracturas de Olecranon
- Fractura de Cupula Radial
- Fractura de Coronoides
- Fractura de Paleta Humeral (Húmero Distal)
- Fracturas del Codo Pediátricas
- Compresión de nervio cubital
- Subluxación del tríceps braquial (Snapping tríceps)
- Rotura del Tendón Distal del Bíceps Braquial
- Artroscopia de Codo
- Artrodesis/Artroplastia de Codo
¿Qué tipo de molestias en el codo deberían preocuparme?
¿Necesito cirugía si tengo dolor en el codo?
¿Qué incluye la primera consulta?
¿Qué tipo de cirugías hacen en el codo?
¿Puedo volver a entrenar o trabajar tras una cirugía?
Casos reales, soluciones reales.
Pacientes que ya trataron su lesión de codo y hoy volvieron a moverse, cargar peso, hacer algún deporte, trabajar en oficina o seguir su vida sin dolor ni limitaciones.

Avulsión de Cóndilo medial: Es el arrancamiento de la inserción del aparato flexor de la muñeca en su origen a nivel del codo o el ligamento colateral medial, y puede suceder por un aumento en la tracción en alguna actividad deportiva o caída.

Avulsión de olécranon: Este arrancamiento implica una tracción excesiva del tendón del tríceps y separa su inserción ósea del resto del cúbito.

Bíceps distal roto: En esta imágen podemos observar como el tendón largo del bíceps braquial se retrae por sufrir un arrancamiento de su inserción en la tuberosidad del radio a nivel del codo.

Cirugía de Tommy John: Esta cirugía se hizo famosa porque se realizó al reconocido jugador de Baseball “Tommy John” en la que se reconstruye el ligamento colateral ulnar a nivel del codo debido a lesión o inestabilidad.

Codo de Niñera: cuando un niño entre 6 meses a 3 años presenta esta lesión normalmente llora y no mueve el codo. Se trata de la subluxación de la cúpula radial o cabeza de radio de su posición en el cúbico a nivel del codo.

Ecografía de Codo: Anatomía normal de epicóndilo y cúpula radial.

Ecografía de Codo: Epicondilitis Codo.

Fracturas de codo - Fracturas de olécranon: En el cúbito podemos presentar fracturas a nivel del olécranon que en donde se articula el húmero distal para permitir movimiento en flexión y extensión.

Fractura de Gartland desplazada: Las fracturas de Gartland son fracturas supracondíleas de húmero distal que ocurren en pacientes pediátricos (niños), estas pueden ser tratadas con un yeso o incluso necesitar cirugía para reducir y fijarla + un yeso.

Lesiones de ligamentos colaterales del codo: Los ligamentos colaterales del codo son el interno (UCL o ligamento colateral cubital) y el externo (RCL o ligamento colateral radial) y estos ayudan a la estabilidad en el plano coronal; es decir evitan el movimiento lateral de la unión del cúbito - radio y húmero distal. Pueden sufrir lesiones si existen fuerzas que sobrepasan su resistencia, las fuerzas en varo o valgo. En estos casos es posible realizar ecografía o ultrasonido para detectar su lesión, o hasta una resonancia magnética.

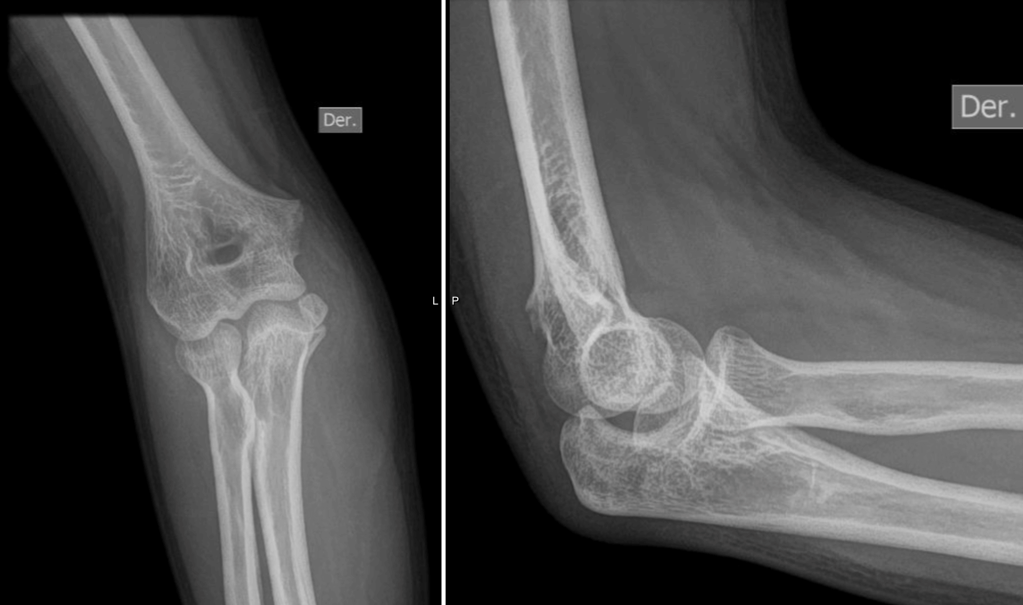
Luxación de codo AP: Ciertos accidentes pueden ocasionarnos que el codo se “safe” esto consiste en la dislocación o luxación del húmero distal del olécranon y de la cúpula radial. En esta radiografía vemos como se observa desde frente la lesión, y en la siguiente →

Luxación de codo LATERAL: observamos cómo se diagnóstica la luxación de codo en una radiografía desde perfil.

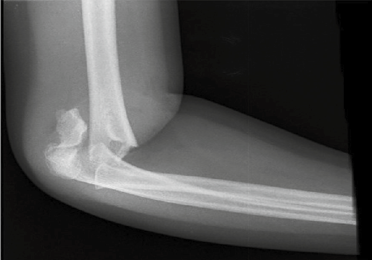
Luxación + fractura de cúpula radial: en estos casos se encuentra dislocado el codo y asociado una fractura de la cabeza de radio; debe primero reducir la luxación para determinar el tipo de tratamiento que se puede dar a la cúpula radial.

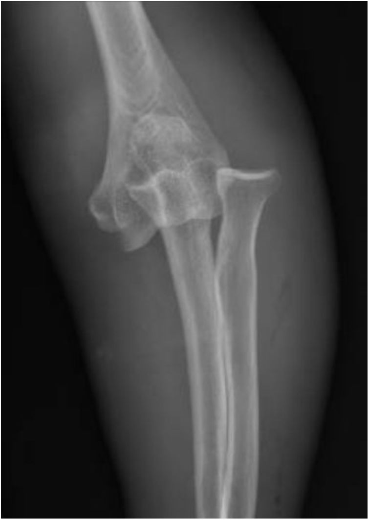
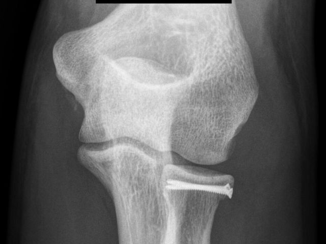
Síntesis de Cúpula radial: Las fracturas de la cúpula radial deben intentar ser reparadas para conservarla en su sitio y prevenir cualquier alteración de la función del codo o antebrazo, e incluso evitar dolor crónico en la muñeca. En ocasiones es necesario realizar síntesis o cirugía de reconstrucción de la cabeza radial como en esta imagen.

Artroplastia / Reemplazo articular de cúpula radial: En algunas lesiones, seleccionadas, donde la reconstrucción de la cúpula o cabeza de radio no es posible se puede colocar prótesis de la cabeza radial para preservar el espacio y limitar las secuelas en el resto del miembro superior.

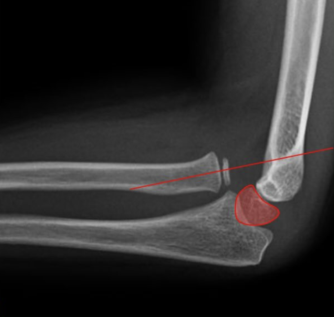
Fractura multifragmentada de cúpula radial: En estas radiografías se puede observar como luce una fractura aislada de la cabeza de radio. Según el trazo o su clasificación se indicará tratamiento desde portar un cabestrillo, síntesis o cirugía para restaurar su forma y dar estabilidad e incluso una sustitución de la cúpula radial.

Cirugía - Dra. Vivian Tecú Bocanegra: Mi trabajo en el quirófano es un tiempo único y clave para la recuperación de mis pacientes, además es una parte de todo el esfuerzo que se hace como equipo incluyendo otros cirujanos, instrumentadores, enfermería y anestesia.

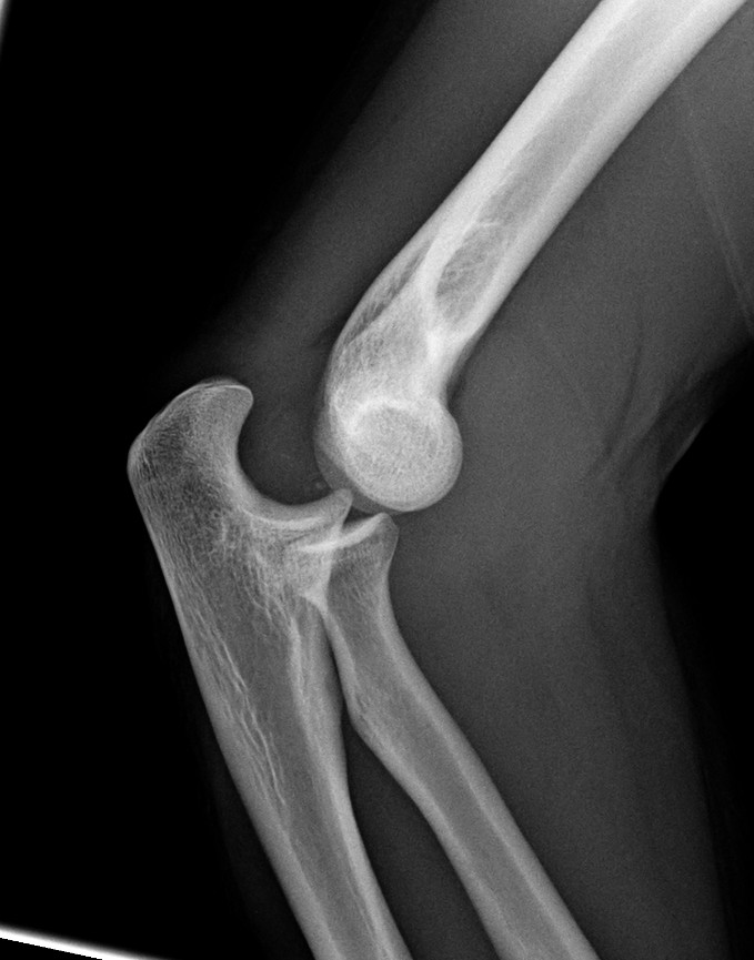
Fractura de cúpula radial: Fractura desplazada, visión lateral.

ANTES: Luxofractura codo derecho: - en emergencia se reduce, se hacen diagnósticos y planificamos cirugía.

DESPUÉS: Luxofractura de codo post cirugía y en rehabilitación, con adecuados movimientos en flexoextensión y pronosupinación.
